Rozpoznanie ciąży u klaczy jest zadaniem, które może sprawić wiele trudności, zwłaszcza w początkowych fazach. W tym czasie brzuch klaczy jest niewielki, a zarodek jest jeszcze bardzo mały, co utrudnia jego wyczucie. Właściciele koni często zastanawiają się, jakie objawy mogą świadczyć o tym, że ich klacz jest w ciąży. Warto znać zarówno zmiany w zachowaniu, jak i fizyczne oznaki ciąży, aby móc szybko zareagować i zapewnić odpowiednią opiekę.
W artykule przedstawimy najważniejsze informacje dotyczące wykrywania ciąży u klaczy, a także metody, które mogą pomóc w potwierdzeniu tego stanu. Dzięki tej wiedzy, właściciele koni będą mogli lepiej monitorować zdrowie swoich podopiecznych i unikać potencjalnych problemów zdrowotnych.
Najważniejsze informacje:- Wczesne objawy ciąży u klaczy obejmują zmiany w zachowaniu oraz fizyczne oznaki, takie jak zmiany w kształcie ciała.
- Badania weterynaryjne, takie jak ultradźwięki, są skutecznymi metodami potwierdzania ciąży.
- Obserwacja zmian w cyklu rujowym klaczy może pomóc w wczesnym wykryciu ciąży.
- Dieta klaczy w czasie ciąży powinna być dostosowana do jej potrzeb, aby zapewnić zdrowy rozwój zarodka.
- Właściciele koni często popełniają błędy w rozpoznawaniu ciąży, co może prowadzić do nieodpowiedniej opieki.
Jakie są wczesne objawy ciąży u klaczy, które warto znać?
Rozpoznanie ciąży u klaczy może być wyzwaniem, szczególnie w początkowych fazach. W tym czasie brzuch klaczy może być niewielki, a zarodek jest jeszcze mały, co sprawia, że trudno go wyczuć. Właściciele koni powinni zwracać uwagę na różnorodne objawy, które mogą wskazywać na to, że klacz jest w ciąży. Wczesne rozpoznanie ciąży jest kluczowe dla zapewnienia odpowiedniej opieki i zdrowia zarówno matki, jak i przyszłego źrebaka.
Objawy ciąży u klaczy można podzielić na zmiany w zachowaniu oraz fizyczne oznaki. Zmiany w zachowaniu mogą obejmować większą wrażliwość lub unikanie kontaktu z innymi końmi. Z kolei fizyczne oznaki mogą być subtelne, ale z czasem stają się bardziej widoczne. Warto znać te sygnały, aby móc podjąć odpowiednie kroki w opiece nad klaczą.
Zmiany w zachowaniu klaczy, które mogą wskazywać na ciążę
Wczesne objawy ciąży u klaczy często manifestują się w postaci zmian w zachowaniu. Klacze mogą stać się bardziej spokojne lub wręcz przeciwnie, bardziej nerwowe. Często można zauważyć, że klacz unika towarzystwa innych koni, co może być oznaką, że czuje się inaczej. Takie zmiany mogą być trudne do zauważenia, ale są ważne dla właścicieli koni.
- Wzmożona wrażliwość na bodźce zewnętrzne, co może prowadzić do unikania kontaktu z innymi końmi.
- Zmiana w apetycie, klacz może jeść więcej lub mniej niż zwykle.
- Większa chęć do odpoczynku, klacz może spędzać więcej czasu leżąc.
- Zmiany w rutynie, klacz może wykazywać nowe nawyki, takie jak częstsze szczotkowanie lub zabieganie o uwagę.
- Nesting behavior, czyli poszukiwanie spokojnego miejsca do odpoczynku, co może sugerować instynkt macierzyński.
Fizyczne oznaki ciąży u koni, które można łatwo zauważyć
Wczesne fizyczne oznaki ciąży u klaczy są kluczowe dla właścicieli, którzy chcą zadbać o zdrowie swoich koni. Choć brzuch klaczy może być jeszcze niewielki, istnieje kilka widocznych zmian, które mogą sugerować, że klacz jest w ciąży. Zmiany w ciele klaczy mogą obejmować powiększenie wymion, które stają się bardziej wrażliwe, oraz lekkie zaokrąglenie brzucha. Z czasem te oznaki stają się bardziej wyraźne, a właściciele powinni być czujni na wszelkie zmiany w wyglądzie swoich koni.
Inne fizyczne objawy to zmiany w apetycie oraz ogólne samopoczucie klaczy. W niektórych przypadkach klacz może wykazywać większą chęć do odpoczynku i unikać intensywnego wysiłku. Warto regularnie obserwować te zmiany, ponieważ mogą one pomóc w wczesnym rozpoznaniu ciąży. Klacze, które są w ciąży, mogą także wykazywać zmiany w sierści, która staje się bardziej błyszcząca i zdrowa.
Jak ocenić fizyczne zmiany u klaczy?
Aby skutecznie ocenić fizyczne zmiany u klaczy, warto regularnie przeprowadzać wizualną inspekcję ciała konia. Obserwowanie klaczy w różnych porach dnia, szczególnie po posiłkach, może pomóc w zauważeniu subtelnych zmian. Kluczowe jest również zwracanie uwagi na rozwój wymion, który powinien być monitorowany w miarę postępu ciąży.
- Regularne sprawdzanie kształtu brzucha, szczególnie w okolicach 3-4 miesiąca ciąży.
- Obserwacja wymion, które powinny stopniowo się powiększać.
- Monitorowanie apetytu klaczy oraz jej zachowań związanych z jedzeniem.
- Ocena ogólnego stanu zdrowia klaczy, w tym kondycji sierści i energii.
- Wykonywanie zdjęć w celu dokumentowania zmian w wyglądzie klaczy na przestrzeni czasu.
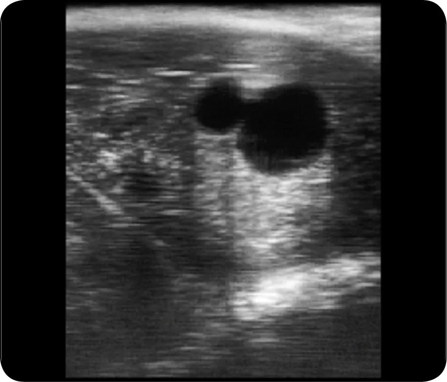
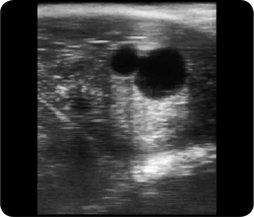
Badania weterynaryjne jako pewny sposób na potwierdzenie ciąży
Potwierdzenie ciąży u klaczy jest kluczowe dla zapewnienia jej zdrowia oraz zdrowia przyszłego źrebaka. Badania weterynaryjne są najskuteczniejszym sposobem na potwierdzenie, że klacz jest w ciąży. Najczęściej stosowane metody to ultrasonografia oraz badanie krwi. Ultrasonografia pozwala na wizualizację zarodka już w bardzo wczesnym etapie, co daje pewność co do stanu klaczy. Z kolei badanie krwi może wykryć hormony ciążowe, co również jest miarodajnym sposobem na potwierdzenie ciąży.
Obie metody są skuteczne, ale różnią się pod względem kosztów i czasu oczekiwania na wyniki. Ultrasonografia jest bardziej kosztowna i wymaga wizyty u specjalisty, ale daje natychmiastowe rezultaty. Badanie krwi jest tańsze i można je wykonać w wielu gabinetach weterynaryjnych, ale wyniki mogą być dostępne dopiero po kilku dniach. Właściciele koni powinni rozważyć obie opcje, aby wybrać najbardziej odpowiednią dla siebie i swojego konia.
Jakie są różne metody badania?
| Metoda | Skuteczność | Koszt | Czas oczekiwania na wyniki |
|---|---|---|---|
| Ultrasonografia | Wysoka | Wysoki | Natychmiastowy |
| Badanie krwi | Średnia | Niski | 2-3 dni |
Jak interpretować zmiany w cyklu rujowym klaczy?
Zmiany w cyklu rujowym klaczy mogą dostarczyć cennych informacji na temat jej stanu zdrowia oraz ewentualnej ciąży. Właściciele koni powinni zwracać uwagę na regularność cyklu oraz wszelkie odstępstwa od normy. Wydłużenie cyklu lub brak rui mogą sugerować, że klacz jest w ciąży lub ma inne problemy zdrowotne. Zrozumienie tych zmian jest kluczowe dla skutecznego monitorowania zdrowia klaczy i podejmowania odpowiednich działań.
Wskazówki dla właścicieli koni, jak monitorować ciążę
Monitorowanie ciąży u klaczy jest kluczowe dla zapewnienia jej zdrowia oraz zdrowia przyszłego źrebaka. Właściciele koni powinni regularnie obserwować swoje klacze, zwracając uwagę na wszelkie zmiany w zachowaniu i wyglądzie. Ważne jest, aby wprowadzić rutynowe kontrole weterynaryjne, które pomogą w potwierdzeniu stanu ciąży oraz w ocenie zdrowia klaczy. Regularne wizyty u weterynarza mogą również pomóc w wykryciu ewentualnych problemów zdrowotnych, które mogą wystąpić w trakcie ciąży.
Oprócz wizyt u weterynarza, właściciele powinni również dbać o odpowiednią dietę klaczy w czasie ciąży. Zbilansowana dieta, bogata w składniki odżywcze, jest niezbędna dla zdrowego rozwoju zarodka. Właściciele powinni monitorować spożycie paszy, a także dostarczać odpowiednie suplementy, które wspierają zdrowie matki i rozwój źrebaka. Wprowadzenie takich praktyk może znacząco wpłynąć na pomyślność ciąży i zdrowie klaczy.
Co obserwować w diecie klaczy w czasie ciąży?
W czasie ciąży klaczy należy szczególnie zwrócić uwagę na jej dietę. Klacze w ciąży potrzebują więcej składników odżywczych, aby wspierać rozwój zarodka. Należy zapewnić im dostęp do wysokiej jakości paszy, bogatej w białko, witaminy i minerały. Ważne jest także, aby klacz miała stały dostęp do świeżej wody, co jest kluczowe dla jej zdrowia oraz zdrowia rozwijającego się źrebaka.
Jakie są najczęstsze błędy w rozpoznawaniu ciąży u koni?
Właściciele koni często popełniają błędy przy próbie rozpoznania ciąży u klaczy, co może prowadzić do nieodpowiedniej opieki i potencjalnych problemów zdrowotnych. Jednym z najczęstszych błędów jest zbagatelizowanie wczesnych objawów ciąży, takich jak zmiany w zachowaniu czy wyglądzie. Wiele osób nie zdaje sobie sprawy, że te subtelne sygnały mogą być kluczowe dla wczesnego wykrycia ciąży. Ponadto, niektórzy właściciele mogą mylić objawy ciąży z innymi problemami zdrowotnymi, co prowadzi do nieprawidłowych wniosków.
Innym powszechnym błędem jest opóźnianie wizyty u weterynarza, co może skutkować brakiem odpowiedniej opieki w krytycznych momentach ciąży. Właściciele powinni także unikać polegania wyłącznie na obserwacji zachowań klaczy bez wsparcia profesjonalnych badań weterynaryjnych. Wreszcie, niewłaściwe interpretowanie cyklu rujowego klaczy może prowadzić do błędnych wniosków na temat jej stanu. Zrozumienie tych pułapek jest kluczowe dla zapewnienia zdrowia zarówno matki, jak i źrebaka.
- Nie zwracanie uwagi na subtelne zmiany w zachowaniu klaczy, które mogą wskazywać na ciążę.
- Opóźnianie wizyty u weterynarza w przypadku podejrzenia ciąży.
- Mylenie objawów ciąży z innymi problemami zdrowotnymi.
- Poleganie wyłącznie na obserwacji bez wsparcia profesjonalnych badań.
- Niewłaściwe interpretowanie cyklu rujowego klaczy i jego zmian.
- Brak dokumentacji zmian w zachowaniu i wyglądzie klaczy.
- Nieadekwatne dostosowanie diety klaczy w czasie ciąży.
Jak wykorzystać technologię w monitorowaniu ciąży klaczy?
W dzisiejszych czasach, technologia odgrywa coraz większą rolę w monitorowaniu zdrowia koni, w tym ciąży klaczy. Właściciele mogą korzystać z inteligentnych urządzeń noszonych, które śledzą aktywność, tętno oraz inne parametry zdrowotne klaczy w czasie rzeczywistym. Takie urządzenia, jak obrączki z czujnikami lub opaski monitorujące, dostarczają cennych danych, które mogą pomóc w identyfikacji ewentualnych problemów zdrowotnych, zanim staną się poważne. Dzięki tym technologiom, właściciele mogą lepiej zrozumieć potrzeby swoich klaczy i dostosować opiekę do ich indywidualnych wymagań.
Warto również rozważyć zastosowanie aplikacji mobilnych do zarządzania zdrowiem koni, które umożliwiają rejestrowanie wszelkich obserwacji dotyczących zachowania oraz stanu zdrowia klaczy. Takie aplikacje mogą przypominać o wizytach u weterynarza, a także dostarczać informacji na temat diety i suplementacji, co jest kluczowe dla zdrowia klaczy w ciąży. Wykorzystując nowoczesne technologie, właściciele koni mogą znacznie poprawić jakość opieki nad swoimi podopiecznymi i zwiększyć szanse na zdrowy rozwój źrebaka.




